Пластинки Планаса
Комплексный подход основывается на убеждении, что «форма следует за функцией» (Луи Салливан) - и само восстановление правильных функций является ключом к гармоничному строению лица, здоровому дыханию и стабильному прикусу.
Пластинки Планаса - это разновидность съемных ортодонтических аппаратов функционального действия, применяемых преимущественно у детей в периоде молочного и сменного прикуса. По показаниям их используют и во взрослом возрасте. Пластинки используются для коррекции функциональных нарушений прикуса и нормализации роста и развития челюстей.

До лечения (ширина верхней челюсти 24,4 мм)

Промежуточный этап лечения

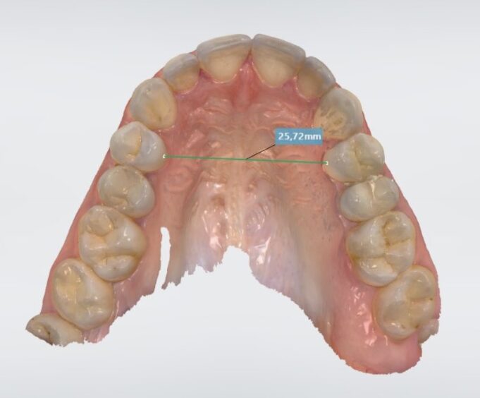
Промежуточный этап лечения (ширина верхней челюсти 28,6 мм)
Как проходит лечение пластинками Планаса в нашей клинике:
1. Консультация врача-ортодонта и клинический осмотр.
2. Диагностика (полный фотопротокол, цифровые оттиски или сканирование, анализ рентгенологического исследования).
3. Составление ортодонтического плана лечения.
4. Индивидуальное изготовление пластинок Планаса с учетом особенностей прикуса.
5. Примерка, инструктаж по ношению и гигиене.
6. Регулярные контрольные визиты для оценки эффективности лечения и коррекции аппарата.
1Какова цель применения пластинок Планаса?
Основной целью использования пластинок Планаса является:
- устранение функциональных нарушений окклюзии;
- нормализация положения нижней челюсти;
- стимуляция или торможение роста отдельных участков челюстей;
- формирование правильных межчелюстных соотношений;
- профилактика развития скелетных форм аномалий прикуса.
- устранение функциональных нарушений окклюзии;
- нормализация положения нижней челюсти;
- стимуляция или торможение роста отдельных участков челюстей;
- формирование правильных межчелюстных соотношений;
- профилактика развития скелетных форм аномалий прикуса.
2Принцип действия.
Принцип действия пластинок Планаса основан на функциональной перестройке жевательного аппарата. Аппарат имеет наклонные плоскости, которые:
- изменяют направление действия жевательных мышц;
- способствуют правильному смыканию зубных рядов;
- корректируют положение нижней челюсти.
Таким образом, происходит адаптация мышц и суставов к физиологическому положению челюстей.
- изменяют направление действия жевательных мышц;
- способствуют правильному смыканию зубных рядов;
- корректируют положение нижней челюсти.
Таким образом, происходит адаптация мышц и суставов к физиологическому положению челюстей.
3Показания к применению.
Пластинки Планаса показаны при:
- функциональном мезиальном прикусе;
- дистальном прикусе функционального происхождения;
- перекрестном прикусе;
- асимметриях нижней челюсти;
- нарушениях функции носового дыхания;
- стимуляции роста челюстей.
- функциональном мезиальном прикусе;
- дистальном прикусе функционального происхождения;
- перекрестном прикусе;
- асимметриях нижней челюсти;
- нарушениях функции носового дыхания;
- стимуляции роста челюстей.
4Возрастные особенности.
Наиболее эффективными пластинки Планаса являются в возрасте:
6 - 20 лет;
В старшем возрасте эффективность аппарата снижается из-за завершения активного роста челюстей. Но мы используем аппарат для лечения и во взрослом возрасте.
6 - 20 лет;
В старшем возрасте эффективность аппарата снижается из-за завершения активного роста челюстей. Но мы используем аппарат для лечения и во взрослом возрасте.
5Преимущества.
- съемная конструкция;
- физиологический принцип действия;
- хорошая адаптация;
- возможность раннего ортодонтического вмешательства;
- профилактика сложных ортодонтических и ортогнатических лечений в будущем.
- физиологический принцип действия;
- хорошая адаптация;
- возможность раннего ортодонтического вмешательства;
- профилактика сложных ортодонтических и ортогнатических лечений в будущем.
6Недостатки.
- эффективность лечения зависит от дисциплины пациента.

Пластинка Планаса

Пластинка Планаса на верхнюю челюсть
