Пластинки Планаса
Комплексний підхід ґрунтується на переконанні, що «форма слідує за функцією» (Луї Салліван) - і саме відновлення правильних функцій є ключем до гармонійної будови обличчя, здорового дихання та стабільного прикусу.
Пластинки Планаса - це різновид знімних ортодонтичних апаратів функціональної дії, які застосовуються переважно у дітей в періоді молочного та раннього змінного прикусу. За показаннями їх використовують і у дорослому віці. Пластинки використовуються для корекції функціональних порушень прикусу та нормалізації росту і розвитку щелеп.

До лікування (ширина верхньої щелепи 24,4 мм)

Проміжний етап лікування

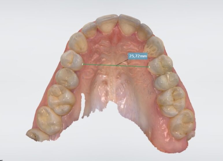
Проміжний етап лікування (ширина верхньої щелепи 28,6 мм)
Як проходить лікування пластинками Планаса у нашій клініці:
1. Консультація лікаря-ортодонта та клінічний огляд.
2. Діагностика (повний фотопротокол, цифрові відбитки або сканування, аналіз рентгенологічного дослідження).
3. Складання ортодонтичного плану лікування.
4. Індивідуальне виготовлення пластинок Планаса з урахуванням особливостей прикусу.
5. Примірка, інструктаж щодо носіння та гігієни.
6. Регулярні контрольні візити для оцінки ефективності лікування та корекції апарата.
Питання та відповіді
1Яка мета застосування пластинок Планаса?
Основною метою використання пластинок Планаса є:
- усунення функціональних порушень оклюзії;
- нормалізація положення нижньої щелепи;
- стимуляція або гальмування росту окремих ділянок щелеп;
- формування правильних міжщелепних співвідношень;
- профілактика розвитку скелетних форм аномалій прикусу.
- усунення функціональних порушень оклюзії;
- нормалізація положення нижньої щелепи;
- стимуляція або гальмування росту окремих ділянок щелеп;
- формування правильних міжщелепних співвідношень;
- профілактика розвитку скелетних форм аномалій прикусу.
2Принцип дії.
Принцип дії пластинок Планаса ґрунтується на функціональній перебудові жувального апарату. Апарат має похилі площини, які:
- змінюють напрямок дії жувальних м’язів;
- сприяють правильному змиканню зубних рядів;
- коригують положення нижньої щелепи.
Таким чином, відбувається адаптація м’язів і суглобів до фізіологічного положення щелеп.
- змінюють напрямок дії жувальних м’язів;
- сприяють правильному змиканню зубних рядів;
- коригують положення нижньої щелепи.
Таким чином, відбувається адаптація м’язів і суглобів до фізіологічного положення щелеп.
3Показання до застосування.
Пластинки Планаса показані при:
- функціональному мезіальному прикусі;
- дистальному прикусі функціонального походження;
- перехресному прикусі;
- асиметріях нижньої щелепи;
- порушеннях функції носового дихання;
- стимуляції росту щелеп.
- функціональному мезіальному прикусі;
- дистальному прикусі функціонального походження;
- перехресному прикусі;
- асиметріях нижньої щелепи;
- порушеннях функції носового дихання;
- стимуляції росту щелеп.
4Вікові особливості.
Найбільш ефективними пластинки Планаса є у віці:
6 - 20 років ;
У старшому віці ефективність апарата знижується через завершення активного росту щелеп. Але ми використовуємо апарат для лікування і у дорослому віці.
6 - 20 років ;
У старшому віці ефективність апарата знижується через завершення активного росту щелеп. Але ми використовуємо апарат для лікування і у дорослому віці.
5Переваги.
- знімна конструкція;
- фізіологічний принцип дії;
- добра адаптація;
- можливість раннього ортодонтичного втручання;
- профілактика складних ортодонтичних і ортогнатичних лікувань у майбутньому.
- фізіологічний принцип дії;
- добра адаптація;
- можливість раннього ортодонтичного втручання;
- профілактика складних ортодонтичних і ортогнатичних лікувань у майбутньому.
6Недоліки.
- ефективность лікування залежить від дисципліни пацієнта.

Пластинки Планаса

Пластинка Планаса на верхню щелепу
